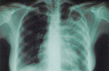
«Никто в Европе на 100 процентов не защищен от устойчивого к лекарствам туберкулеза», - утверждает врач ВОЗ Октай Гозалов.
По данным ВОЗ, в группе риска находятся страны Восточной Европы (Россия и Украина), а также Азербайджан. В Западной Европе самый высокий уровень заболеваемости зафиксирован в Лондоне. Там ежегодно палочка Коха поражает 3,5 тысячи человек, пишет «Газета.Ru».







Комментарии